醫師強調產品成分過氧化氫超過6%、碳醯過氧化物超過18%須採保護牙齦措施
記者包克朗/台北報導
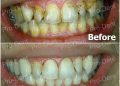
牙齒美白不再是年輕女孩的專利1平時嗜吃檳榔、愛抽香菸導致滿口黑牙的老爸也可以擁有一口潔白、亮麗的牙齒,牙醫師指出,外生性與內生性牙齒變色,都可透過超音波潔牙或藥劑漂白等方式,讓牙齒恢復「本色」。
柏登牙醫診所院長黃斌洋醫師指出,一般而言,牙齒變色的情況若是來自外面的染色,例如吃具強烈色素的食物(如咖理或滷味)、抽煙、喝咖啡等因素,一段時間後便自然會在牙齒表面行程一層色素,輕則牙齒表面泛黃,嚴重時甚至會形成明顯深色污垢,若色素堆積時間較久色素會滲入 瑯質表面淺層結晶間隙凹槽間,單純用刷牙的方式,很難加以去除。
黃斌洋說,通常牙齒的外生性染色,由於色素層滲透的區域屬表層,臨床處理上較為單純,可以透過超音波潔牙(俗稱洗牙)、噴砂(利用一種大約砂礫大小的極為砂粒,經牙科專用噴砂機頭產生壓力,均勻噴佈於牙縫深處的色素清潔死角,將色素去除)等方式加以處理。
至於內生性牙齒變色,黃斌洋表示,若牙齒變色的原因來自內在,統稱為,內生性變色,國人常見的內生性變色多與四環黴素的使用有關,由於四環黴素與鈣結合後會形成深咖啡色斑,國內自20年前將四環黴素列為第一線用藥後,發育中的幼童一旦攝取到這項藥物,隨著年紀增加就會造成沉積在骨頭與牙齒深處變黃成為深咖啡色素斑。
黃斌洋強調,市售美白牙齒的產品,主要成份是碳醯過氧化物或過氧化氫,一般人選擇相關的產品需注意,由於過氧化氫的強度是碳醯過氧化物的3倍,過氧化氫多在6%以下,碳醯過氧化物則多在18%以下,若超過安全濃度易造成牙齦的傷害,建議塗佈在牙齒時需採取保護牙齦的措施。
黃斌洋說,通常牙齒美白術後24小時內,牙齒很容易再染上有顏色的物質,必須避免飲用可樂、茶、咖啡、紅酒、莓果類飲料有色漱口水等及食用深色食物,並儘量避免抽煙。
黃斌洋表示,由於孕婦易有孕婦型牙周病,青少年在發育過程,牙齒對外來刺激反應較強,臨床上不建議此二族群接受牙齒美白術。
資料來源:中華日報950802














