2021年準備跨入2022的最後一天門診,診所同仁們的心情早就隨著101大樓周邊上下飄移的雷射光波而同步起伏。隨著自己約診單上一條又一條看完病人後被槓掉的線,心情同樣進入倒數前的歡愉。
線槓到最後,突然發覺約診單尾端多了一條用手寫補上的急診加掛資料:
「初診病人XXX, 希望趕緊做美白 快得憂鬱症, 急!」
當病人有病痛,特別在跨年連假前至少幫他們緊急解痛,本來就是醫生的天職。
但是這種需要「趕緊做美白」的「急診」,對從醫數十年的自己而言,還真是不多見。
「大概是跨年要相親,害怕自己一笑被退貨; 或者連假需要拍婚紗,已經被攝影師下最後通牒吧?」我心中暗自猜測。
終於在跨年下診前,跟這位「美白急診」病人碰面。詢問之下她是位正在做月子的新手媽咪。
「媽媽您好,我是黃醫師。恭喜妳有小寶寶,請能我能幫您甚麼忙嗎?」我禮貌性問候病患。
「黃醫師救救我,我牙齒突然變得好黃呀!」病人用慌張語調,配上驚恐的眼神回應我。
「請問您月子做完了嗎?」我接著問。
「還沒耶! 但是快要做不下去了」。她回答,語氣充滿無助感。
雖然理性告訴我,「牙齒黃」至少不會造成「急診牙痛」的要素,更何況她還在坐月子,應該等到月子做完再處理應該也還來得及。
但是,她說的「月子快做不下去」引導我似乎從理性與剛性的判斷外,更需要多一些對她狀況的同理關心與了解。
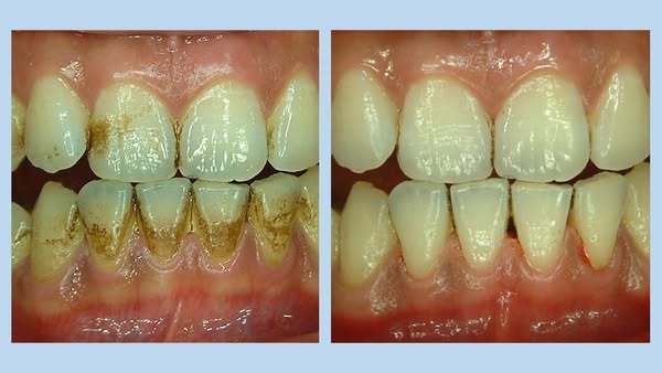
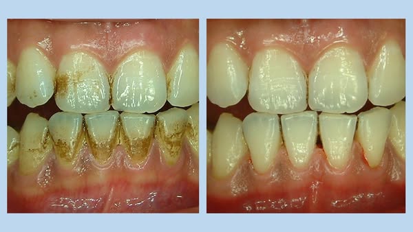
我用燈光仔細檢查了月子媽咪的牙齒。相較同齡女性,她的牙齒果真呈現更為黑黃,並附著不均勻的暗色斑塊。配上這樣的牙齒外觀,讓她頓時覺得自己老了二十歲。
「難怪她會在意自己牙齒的顏色突然變化。」我心裡再次OS。
「所以說您原本牙齒沒有這麼黃嗎?」我問到。
「對喔! 我以前的牙齒可是自己最喜歡的招牌耶!」月子媽咪說。
「可以多告訴我一些關於您牙齒最近發生的事嗎?」我嘗試引導她提供更多資訊。
「我生完小孩後,因為腰痠無力,月子中心營養師為了幫我補筋骨,所以餐點有加強提供杜仲成分。結果不吃還好,不知道怎麼吃了幾天後,就真的看到自己牙齒一天比一天更黑,讓我好著急,不知道怎麼辦才好。」月子媽咪分享。
此時我的心中開始有了些線索。
「因為剛開始約不到您,所以我有先到附近牙科診所洗牙,看能不能變白。可是洗牙完成後雖然牙結石變少,但牙齒還是黃黃黑黑的,更令我擔心。」月子媽咪繼續分享。
「可能是產婦賀爾蒙作祟,我現在看到自己牙齒黃黑到這個地步,心情大壞,連帶變成沒有母乳,所以自己跟先生都很煩心,自己也快得憂鬱症。」月子媽咪終於說出心中那個擔憂的結。
的確愉悅的好心情會刺激泌乳激素大量分泌,有助媽咪哺乳。現在月子媽咪完全沒有母乳可以哺餵,也難怪她會把「解決牙齒黃問題」視為「急診」。
「好的,我了解。這樣聽起來似乎跟您的飲食色素附著相關。我來試試看藉由不用化學藥劑的方式,有沒有辦法將您牙齒變回來好嗎?」 我安慰她說。
「好喔! 千萬拜託!」從她渴望的眼神中,看得出她非常在意牙齒顏色。
於是我請診所助理將原本已經完成年度保養的口腔SPA設備再度拿出來,然後仔細幫月子媽咪的牙齒表面做深層清潔、拋光與噴砂等流程。
處理時間約莫三十分鐘完成。仔細將殘留在牙齒表面的拋光殘屑沖洗乾淨後,謎底終將揭曉,勝負就看此刻…
「來喔! 鏡子給妳,鼓起勇氣看看現在的牙齒吧!」助理同步遞給了她一面鏡子。
「哇…….! 」此刻的她長叫一聲,然後半响說不出話來。
「這…是我的牙齒嗎? 不但沒有染色了,而且甚至比坐月子前的牙齒更白!」她驚喜的說道。
這位月子媽咪終於不再焦慮,變成是愉悅的月子媽咪了。可以預測她隨後的母乳量應該可以大增。
「黃醫師, 謝謝妳。這真是我給自己與小寶寶最好的新年禮物!」月子媽咪表情難掩興奮。
「那妳現在可以乖乖回月子中心好好坐完月子了嗎?」我笑著說。
「可以! 可以! 而且我也要拉我老公來把她的牙齒好好亮白一下!」 月子媽咪笑著回答。















