全瓷牙冠及瓷鑲面假牙技術以達到與真牙相同水準 既逼真又舒服且很美觀
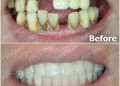
[台北訊]擁有整齊、好看的牙齒及甜美的笑容,是社交禮儀重要的一部分,也是現代人追求的風潮。目前全瓷牙冠及瓷鑲面假牙技術已達到與真牙相同水準。可讓一口敗壞與蛀牙的人重拾信心,勇敢開口笑。
一口汙損的假牙實在不雅觀,傳統的瓷金屬牙冠難達一定水準,且因採不透光瓷粉及金屬內冠,牙套齒頸部看起來太死白。無法像真牙那麼有透明感,加上牙齦會產生暗色陰影,看起來黑黑的很不自然,新技術全瓷牙冠則以電腦程式CAD/CAM設計、製造牙齒外型,以高科技精密工業技術及氧化鋁粉高溫壓縮製造牙冠內襯,兼具強韌、美觀及密合度高等優點,除改善傳統瓷金屬牙冠易破裂缺點外,色澤表現如真牙較自然,因此廣受青睞。
美國紐約大學牙醫碩士黃斌洋表示,一般傳統瓷牙套金屬內襯材料有不鏽鋼跟貴金屬兩種,含黃金及白金的高級金屬體延展性、密合度及色澤自然度遠勝於不鏽鋼,但還是無法與天然的琺瑯質相比,因此已有越來越多的消費者寧願選擇採用價格高昂的全瓷牙冠。無論何種牙套,其邊緣還是會和牙齦等牙齦組織形成一道介面。目前瓷牙技術可做到完全沒有接痕,琺瑯質與牙齦密合一體,就如天生牙齒較自然,假如有牙周病就必須先治療好,做出來的假牙才會逼真。
以目前科技及材料,要做出美觀的瓷牙並不難,假牙自然與美觀主要取決於健康、完整的牙齦組織,因此,從牙齒的修磨、臨時牙套至印模、裝戴等,都必須考量牙齦健康,保護組織結構完整性,牙套上的陶瓷能和週邊牙肉自然健康的融為一體,同時每半年定期回診,做好假牙及牙周的維護性治療,才能讓笑容更燦爛。[陳勝忠]
資料來源:經濟日報950609














