在一切如常的週五午後,阿斌哥幫一位阿姨看診結束時,發現還剩餘了點時間。阿姨看了看我,問我能不能撥冗幫陪她一同前來的看護妹妹檢查一下牙齒?
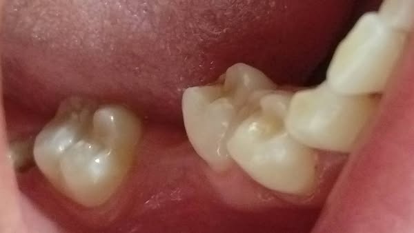
「反正不影響後續排程, why not?」我心中OS。於是幫看護妹妹洗牙後,並同時做口腔檢查。檢查結果發現有蛀牙及缺牙。
「阿姨 , 艾利( 假名) 的牙齒有蛀牙喔! 而且右下邊有缺牙。」我跟雇主說明。
原本自己的預期,只要阿姨願意讓看護請假來門診治療蛀牙就很好了, 並沒有預期他對於缺牙會有甚麼特別反應,因為終究那需要更大的時間與金錢成本。
「喔! 艾利呀,妳怎麼沒有讓我知道妳有缺牙呢?」 阿姨看著艾利說。
「嗯…沒關係啦! 我缺牙很久了,我是想還有左邊牙齒可以吃喔! 」艾利睜大眼睛看著阿姨說。
我心裡揣測, 怎麼有人會不希望自己牙齒完整呢? 說沒有關係大概還是跟費用相關吧!
「唉呦! 你這樣吃東西多不方便呀! 」阿姨對艾莉說。
「 黃醫師 ,您覺得艾利的處理方式有那些選擇呢?」
我看著阿姨,心想會主動幫看護詢問口腔治療計畫的雇主還真的不多, 因為有些雇主把看護人員牙齒照顧當成看護自己的事。
我嘗試幫看護做成本考量,於是給了幾個經濟上較沒有壓力的治療選項。計畫包含價格經濟很多的局部活動假牙,以及咬合功能較好但費用稍高的固定牙橋。
「黃醫師 ,這兩種選項哪種對於艾莉的吃東西比較方便呢?」 阿姨直接問。
我做了一個比喻。固定假牙好比穿著合身的球鞋跑步, 而活動假牙好比穿著夾腳拖鞋跑步。 就吃東西穩定性來說, 當然固定假牙好很多。
當我說到這裡時,不經意偷偷瞄一下看護的表情。她面色有點尷尬, 因為她雖然很想治療,但是無論那種治療計畫對她都是額外支出。此時的我心中揣測劇情可行的發展方向,是雇主通融她請假來接受較經濟的活動假牙重建,雇主先預繳後再利用分期讓她攤提費用。這樣應該算雇主已釋出了照顧善意。
阿姨開口了: 「黃醫師, 若您覺得固定假牙對艾利的吃東西較有幫助 ,那她就作固定假牙好了。她還那麼年輕,需要有好牙齒才會健康。 她的薪水需要寄回家,剩下已經不多了。沒關係! 這費用由我來負責就好 。」
這劇情發展的確出乎我與艾利的意料之外 。 艾利表情首先木訥,接著眼睛呈現血絲, 然後泛紅 ,然後泛淚。 阿姨輕輕拍著她的肩, 跟她說:「我本來就把妳當成我的孫女兒。」
看護看著阿姨,手也伸到肩膀握住了阿姨的手…
這情景讓我想起了一個「回音谷」的寓言故事。故事大致是說當我們對著山谷大叫甚麼, 山谷就會回應我們甚麼。我們大喊愛,山谷回應我們愛;我們大喊計較,山谷也會回應我們計較。 當「付出者收穫」是人際的互動準則時,我們應該先忖度可回收多少收獲後, 才考慮付出斤兩,還是學習阿姨無私的付出?
阿姨與艾利看護的故事, 讓我覺察身為專業牙醫師的我,能做的只是幫艾利搭起有價「牙橋」,但是她們之間搭起的「心橋 」更是無價。 對看護艾利而言,她藉由看牙過程,感受到阿姨把她當女兒般疼愛,而她有限未來對阿姨與家人的照護,相信也將凌駕雇傭關係,成為超越國度的有緣一家人。














